VÓLVULO DE VESÍCULA BILIAR COMO CAUSA INFRECUENTE DE ABDOMEN AGUDO: REPORTE DE UN CASO CLÍNICO
1.- María Fernanda Rodríguez Izquierdo
Cirujano General. Hospital Provincial de Talagante.
Santiago, Región Metropolitana – Chile
Correo: mafer89.mfri@gmail.com
ORCID: https://orcid.org/0009-0007-4216-9970
2.- Ana Liscar Sutherland Michelangeli
Cirujano General. Hospital Félix Bulnes Cerda
Santiago, Región Metropolitana – Chile
Correo: analisar202@gmail.com
ORCID: https://orcid.org/0009-0007-3737-6238
3.-Carlos Alexander Muñoz Morales
Cirujano General. Hospital Claudio Vicuña.
Santiago, Región Metropolitana – Chile
Correo: drcarloscirugia@gmail.com
ORCID: https://orcid.org/0009-0002-2214-9108
4.- Jesús Alejandro Soublett Rivas
Cirujano General. Hospital Félix Bulnes Cerda
Santiago, Región Metropolitana – Chile
Correo: jesoub@gmail.com
ORCID: https://orcid.org/0009-0009-7548-6192
5.-Honorio Antonio Hernández González
Cirujano General. Hospital Provincial de Talagante.
Santiago, Región Metropolitana – Chile
Correo: honorio186.hh@gmail.com
ORCID: https://orcid.org/0009-0000-7834-3802
RESUMEN:
Introducción: El vólvulo de vesícula biliar es una
condición poco común que puede simular otras
patologías abdominales agudas, lo que dificulta su
diagnóstico. Esta afección tiene una mayor incidencia en
mujeres mayores y su presentación generalmente amerita una
colecistectomía urgente debido a la gravedad de los
síntomas. Caso clínico: Se presenta el caso de una
paciente femenina de 88 años de edad, quien consultó por
dolor abdominal, náuseas y vómitos de 72 horas de
evolución. El examen físico reveló sensibilidad en
el hipocondrio y flanco derecho, los análisis de laboratorio
indicaron un aumento de los parámetros inflamatorios. El
diagnóstico fue confirmado mediante estudios de tomografia de
abdomen con contraste, que mostraron una estructura quística con
un cálculo en su interior y cambios inflamatorios compatibles
con vólvulo vesicular. Se decide realizar una
laparoscopía, que posteriormente fue convertida a cirugía
abierta durante la operación, se evidenció
vesícula biliar de gran tamaño, rotada sobre su eje en
más de 180°, lo que causó gangrena en sus paredes.
Conclusiones: El vólvulo de vesícula biliar, aunque
infrecuente, presenta síntomas inespecíficos que pueden
imitar otras condiciones abdominales agudas, lo que dificulta su
diagnóstico preoperatorio. Por lo tanto, es fundamental llevar a
cabo una evaluación clínica exhaustiva y un estudio de
imagen adecuado para llegar a un diagnóstico certero. La
colecistectomía laparoscópica es considerada el
tratamiento de elección, y ofrece un pronóstico favorable
si se realiza sin demoras.
Palabras clave: Vólvulo, vesícula biliar, torsión.
GALLBLADDER VOLVULUS AS AN UNCOMMON CAUSE OF ACUTE ABDOMEN: A CLINICAL CASE REPORT
ABSTRACT:
Introduction: Gallbladder volvulus is an uncommon condition that
can mimic other acute abdominal pathologies, making its diagnosis
challenging. This condition has a higher incidence in older women, and
its presentation usually warrants an urgent cholecystectomy due to the
severity of the symptoms.Clinical case: We present the case of an
88-year-old female patient who consulted for abdominal pain, nausea,
and vomiting lasting 72 hours. The physical examination revealed
tenderness in the right upper quadrant and flank, and laboratory
analyses indicated elevated inflammatory markers. The diagnosis was
confirmed through contrast-enhanced computed tomography of the abdomen,
which showed a cystic structure with a stone inside and inflammatory
changes consistent with gallbladder volvulus. A laparoscopic approach
was decided upon, which was subsequently converted to open surgery.
During the operation, a large gallbladder was observed, twisted over
its axis by more than 180°, resulting in gangrene of its
walls.Conclusions: Gallbladder volvulus, although infrequent, presents
with nonspecific symptoms that can imitate other acute abdominal
conditions, complicating its preoperative diagnosis. Therefore, it is
essential to conduct a thorough clinical evaluation and appropriate
imaging studies to achieve an accurate diagnosis. Laparoscopic
cholecystectomy is considered the treatment of choice and offers a
favorable prognosis if performed without delay.
Keywords: Volvulus, gallbladder, torsion.
INTRODUCCIÓN
El vólvulo de la vesícula biliar es una causa infrecuente
dentro de las patologías del sistema hepatobiliar, con
aproximadamente 500 casos documentados en la literatura desde finales
del siglo XIX (1). Su incidencia es de 1 por cada 365,000 pacientes con
enfermedades biliares. En 1898, Wendel describió este
fenómeno por primera vez, definiéndolo como una
torsión de la vesícula biliar alrededor de su eje,
afectando la arteria y el conducto cístico. Esta
condición rara, cuya etiología sigue siendo desconocida,
puede ocurrir debido a la ausencia de mesenterio en la vesícula
biliar o el conducto cístico, o a la presencia de un mesenterio
amplio y móvil, lo que lleva a un aspecto de "vesícula
flotante". Otra posible causa es la torsión de la
vesícula sobre su propio eje o en el triángulo
cístico, según la clasificación de Gross, que
distingue entre dos tipos (tipo 1 o tipo 2) (2).
Las manifestaciones clínicas del vólvulo varían
desde síntomas vagos hasta emergencias quirúrgicas cuando
se presenta una torsión completa mayor de 180°. Es
más frecuente en pacientes de entre 70 y 80 años, con una
media de presentación de 77 años. Esta condición
tiene una mayor prevalencia en mujeres, con una relación de 4:1
respecto a los hombres, inversamente a lo que ocurre en la infancia,
donde se observa una relación de 2.5:1 (2,3).
La presentación clínica suele asemejarse a la
colecistitis aguda, lo que dificulta su identificación en el
período preoperatorio. Las dificultades y retrasos en el
diagnóstico clínico y por imágenes aumentan el
riesgo de complicaciones como sepsis secundaria a isquemia, necrosis y
perforación vesicular (4). Un diagnóstico y tratamiento
quirúrgico oportunos, ya sea mediante videolaparoscopia o
laparotomía exploratoria, son esenciales para evitar estas
complicaciones. El tratamiento de elección es la
colecistectomía de urgencia, que generalmente tiene un buen
pronóstico. (2,4)
A continuación, se presenta el caso de una paciente con
vólvulo de vesícula biliar, evidenciando un cuadro de
abdomen agudo inusual.
PRESENTACIÓN DE CASO:
Paciente Femenina de 88 años de edad con antecedentes de
escoliosis e hipertensión arterial, fue traída a
urgencias por presentar un dolor abdominal de 72 horas de
evolución, localizado en el hipocondrio y flanco derecho,
asociado a náuseas y vómitos. Al examen físico la
paciente se encontraba clínicamente estable, con taquicardia y
signos de deshidratación. El abdomen era blando y depresible,
pero doloroso a la palpación en el hipocondrio y flanco derecho,
con un signo de Murphy positivo. Los exámenes de laboratorio
iniciales mostraron parámetros inflamatorios elevados, mientras
que el perfil hepático se reportó normal. Se
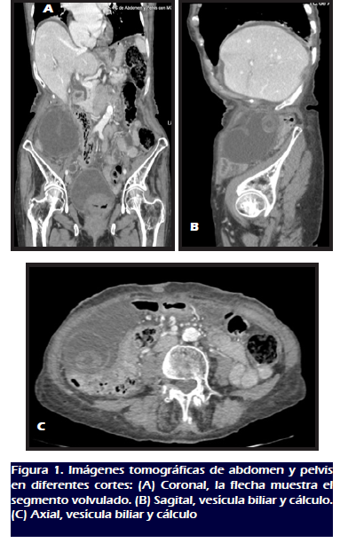
realizó una tomografía computarizada de abdomen y pelvis
con contraste endovenoso, la cual reveló una estructura
quística con un cálculo en su interior, además de
cambios inflamatorios significativos adyacentes, compatibles con
vólvulo vesicular. La vía biliar intra y
extrahepática se encontró de calibre normal sin factor
obstructivo. Se observó escasa ascitis y signos difusos de edema
mesentérico (Figura 1).
TRATAMIENTO REALIZADO:
Considerando el cuadro clínico de la paciente y los hallazgos de
los estudios complementarios de imagen, se decidió realizar una
laparoscopia, durante la intervención se observó un
plastrón vesicular formado por omento mayor, el ángulo
hepático del colon y el estómago. Ante estos hallazgos,
se optó por convertir a una cirugía abierta. Se
constató una vesícula biliar de gran tamaño
(aproximadamente 15 x 10 cm), rotada sobre su eje mayor a 180°, lo
que condiciono gangrena de las paredes en el fondo y el cuerpo de la
vesícula. Se identificaron el conducto cístico, la
arteria cística y la vía biliar principal (Figura 2).
La colecistectomía se realizó de urgencia, logrando la
desvolvulación y resección de la vesícula
gangrenada.
SEGUIMIENTO Y RESULTADOS
Tras la intervención, la paciente evolucionó
favorablemente. El Inicio de el regimen fue en las primeras 8h
postoperatorias. Se observo mejoria de los parámetros
inflamatorios, siendo egresada al tercer dia.
En el seguimiento a un mes, la paciente se encontraba asintomática.
DISCUSIÓN:
El vólvulo de la vesícula biliar representa la
torsión de una víscera sobre su eje longitudinal
(organo-axial) o alrededor de su eje transversal (mesenterio-axial).
Aunque hasta el 90 % de los casos se presentan en el colon sigmoides,
también se ha documentado en el ciego, el estómago y el
intestino delgado, siendo muy raramente observado en la vesícula
biliar, donde la rotación ocurre ya sea sobre un mesenterio
corto o uno largo. Esta condición puede implicar un alto riesgo
de morbilidad y mortalidad si no se identifica y trata de manera
oportuna (1,3).
El vólvulo de vesícula biliar es una enfermedad
poco frecuente que puede afectar a personas de cualquier edad, aunque
muestra un pico de incidencia bimodal: uno en el grupo etario de 0 a 18
años y otro mayor en los pacientes de entre 70 y 80 años,
con una relación de mujeres a hombres de 4:1 (4,5). Este
patrón se confirma en el caso que hemos presentado, que
involucra a una mujer de edad avanzada.
El mecanismo exacto de la torsión es desconocido, pero se
sospecha que existen factores anatómicos predisponentes que
contribuyen a su aparición (6,7). Entre ellos se incluye la
malformación congénita, que puede ocurrir entre la cuarta
y la séptima semana del desarrollo embrionario, lo que resulta
en la ausencia del mesenterio vesicular. Esta condición puede
llevar a un estado de "vesícula biliar flotante". La
visceroptosis generalizada también aumenta la movilidad de la
vesícula en pacientes ancianos, debido a la relajación y
elongación del mesenterio vesicular y del conducto
cístico (8,9,10). En nuestro caso, las características
anatómicas observadas, como la elongación del mesenterio
vesicular, permitieron la torsión y el desplazamiento de la
vesícula biliar.
Según la clasificación de Gross, publicada en 1936,
existen dos tipos de torsión de la vesícula biliar: la
torsión completa, donde la rotación es mayor de 180°,
y la torsión incompleta, que se presenta con rotación
menor de 180°. En 1945, Leger clasificó los casos en
torsión total (alrededor de su pedículo) y torsión
parcial (donde el fondo vesicular se desplaza y se tuerce en una
unión de las porciones fija y móvil, creando una forma en
reloj de arena). Lau et al. propusieron criterios clínicos para
la sospecha del vólvulo de vesícula biliar, aunque no
existen síntomas específicos preoperatorios. Los
análisis típicamente muestran un proceso inflamatorio
agudo, con leucocitosis y desviación a la izquierda, sin
alteraciones significativas en el perfil hepático (11,12).
La ecografía es la primera prueba de imagen a realizar en
pacientes con dolor abdominal agudo en el hipocondrio derecho, debido a
su alta sensibilidad y especificidad para patologías
hepatobiliares. Los hallazgos son análogos a los de la
torsión de otros órganos móviles: aumento del
tamaño vesicular, engrosamiento y edema de la pared, y
líquido libre perivesicular. A su vez, la localización
ectópica de la vesícula, desplazada anterior e
inferiormente, y el conducto cístico situado a la derecha de la
vesícula ayudan a orientar el diagnóstico. Con la
ecografía Doppler, se puede observar la ausencia de flujo en la
arteria cística en casos de torsión completa. Dado que no
disponíamos de ecografía, el examen de elección en
nuestro caso fue la tomografía computarizada, que
evidenció el segmento volvulado de la vesícula biliar y
proporcionó apoyo diagnóstico prequirúrgico. Tras
una extensa revisión de la literatura, se encuentra que los
hallazgos ecográficos son similares a los que se observan en la
tomografía computarizada, la cual también permite
visualizar el giro de la vesícula sobre su hilio. La resonancia
magnética, aunque menos utilizada por su menor disponibilidad y
mayor tiempo de exploración, podría ser útil en
casos donde persistan dudas después de la ecografía y la
tomografía, ya que proporciona más información,
especialmente en situaciones de necrosis de la pared o hemorragia
intramural (11,12).
Con respecto al tratamiento, la colecistectomía
laparoscópica es considerada el estándar de oro, a pesar
de que solo el 10% de los casos se diagnostican preoperatoriamente
(13). Cuando la vesícula biliar está poco adherida al
hígado, la intervención puede llevarse a cabo con
relativa facilidad. En situaciones de inestabilidad hemodinámica
asociada a perforación y coleperitoneo, se recomienda una
cirugía abierta como vía de acceso. En el caso
presentado, se realizó un primer abordaje laparoscópico,
pero la presencia de un plastrón vesicular de difícil
disección motivó la conversión a cirugía
abierta. La técnica quirúrgica implica la
desvolvulación de la vesícula, el vaciado de la
hidropesía vesicular y la colecistectomía, siendo crucial
realizar con especial cuidado la disección del triángulo
de Calot, que puede estar distorsionado tras la desvolvulación
(11,13).
El pronóstico es excelente, salvo en aquellos casos donde se
retrasa el diagnóstico y la cirugía; en tales
situaciones, el riesgo de perforación y peritonitis puede elevar
la mortalidad hasta un 5-10% (11,1).
En resumen, el diagnóstico y tratamiento oportunos son
esenciales para resolver esta patología y prevenir
complicaciones. En nuestro caso, la paciente evolucionó
satisfactoriamente, siendo egresada a las 72 horas después, con
un buen estado de salud, como se evidenció en los controles
subsiguientes.
CONCLUSIÓN:
El vólvulo de vesícula biliar es una patología
poco común que tiene una mayor incidencia en mujeres de edad
avanzada. Sus síntomas suelen asemejarse a los de otras
enfermedades abdominales agudas, lo que dificulta un diagnóstico
preoperatorio oportuno. No obstante, las técnicas de imagen como
la ecografía, la tomografía computarizada y la
colangioresonancia son herramientas valiosas que pueden facilitar una
identificación más rápida y precisa.
La colecistectomía sigue siendo el tratamiento de
elección, demostrando un pronóstico generalmente
favorable cuando se realiza sin demora.
CONFLICTO DE INTERESES
Los autores declaran que no tienen conflicto de intereses.
DECLARACIONES DE AUTORÍA
M.R y A.S. desarrollaron la idea, condujo la búsqueda
bibliográfica, recopiló los datos y redactó el
manuscrito. J.S.y C.M revisó el documento. Todos los
autores realizaron la revisión final, contribuyendo con
análisis intelectuales y aprobando la versión final.
CONSENTIMIENTO INFORMADO
Se obtuvo el consentimiento informado por escrito del paciente para la
publicación de este informe y cualquier imagen asociada.
FINANCIACIÓN: Ninguna
REFERENCIAS
1. Reyna-Villasmil E. Vólvulo de la vesícula biliar.
Repert Med Cir. https://doi.org/10.31260/Repert Med Cir.01217372.1302
2. Palmieri A, Hernández LA, González C,
Hernández KJ, Pérez JB, Tovío IP. Vólvulo
de la vesícula biliar. Rev Colomb Cir. 2019;34:269-76.
https://doi.org/10.30944/20117582.446
3. Oriolo-Estrada MA, García-Pérez JA,
Cárdenas-Valdés CA. Vólvulo de vesícula
biliar, a propósito de un caso. Rev Ciencias Médicas
[Internet]. 2021 [citado: fecha de acceso]; 25(1): e4365. Disponible
en: http://revcmpinar.sld.cu/index.php/publicaciones/article/view/4365
4. José Miguel Alfonso Valdés, Deny Luis
Domínguez Rodríguez , Luisbel Correa Martínez,
Rolando Piñero Prieto. Rev. Ciencias Médicas de Pinar del
Río. Mayo-junio, 2016; vol 20 (3):380-384
5. Dr. Enrique Legra Zayas, I Dr. Juan Bory Rodríguez I y
Dra. Yamilda Montero Lora II MEDISAN 2017; 21(5):585 Vólvulo de
vesícula biliar en una anciana
6. Cabello del Castillo JA, Lomas Espadas M, Pascual Montero JA.
Vólvulo de la vesícula biliar. Revista Española de
Enfermedades Digestivas. 1982;61:56-58
7. Nguyen T, Geraci A, Bauer JJ. Laparoscopic cholecystectomy for gallbladder volvulus. Surg Endosc. 1995;9:519-21
8. Resano B, Abadía I, Arnedo S, Flamarique O, Eguaras E,
Ramírez O. Vólvulo de vesícula. Cir Esp.
2000;68:87-88.
9.Ingwang R, Belsham P, Scott H, Barker S, Bearn P. Torsion of the
gallbladder: Rare, unrecognized or underreported? Aust N Z J Surg.
1991;61:717-20
10. Wendel AV. Case of floating gallbladder and kidney complicated by
cholelithiasis with perforation of gallbladder. Am Surg.
1898;27:199-202.
11. Lau WY, Fan ST, Wong SH. Acute torsion of the gallbladder in
the aged: A re-emphasis on clinical diagnosis. Aust N Z J surg.
1982;52:492-4
12.Abadía-Barnó P, et al. Vólvulo de
vesícula biliar: retos diagnósticos y quirúrgicos.
Cirugía y Cirujanos. 2016.
http://dx.doi.org/10.1016/j.circir.2016.10.013
13.Garcivilla PC, Alvarez JF, Uzqueda GV, Diagnosis and laparoscopic
approach to gallbladder torsion and cholelithiasis. JSLS.
2010:14:14068-72.

