NECROSIS CECAL AISLADA QUE SIMULA NEOPLASIA COLÓNICA COMPLICADA

 

1.- María Fernanda Rodríguez Izquierdo

Cirujano General. Hospital Provincial de Talagante.

Santiago, Región Metropolitana – Chile

Correo: mafer89.mfri@gmail.com

ORCID: https://orcid.org/0009-0007-4216-9970

2.- Ana Liscar Sutherland Michelangeli

Cirujano General. Hospital Félix Bulnes Cerda

Santiago, Región Metropolitana – Chile

Correo: analisar202@gmail.com

ORCID: https://orcid.org/0009-0007-3737-6238

3.- Jesús Alejandro Soublett Rivas

Cirujano General. Hospital Félix Bulnes Cerda

Santiago, Región Metropolitana – Chile

Correo: jesoub@gmail.com

ORCID: https://orcid.org/0009-0009-7548-6192

4.-Carlos Alexander Muñoz Morales

Cirujano General. Hospital Claudio Vicuña.

Santiago, Región Metropolitana – Chile

 

RESUMEN:

Introducción: La necrosis cecal aislada (NCA) es una manifestación atípica de colitis isquémica que puede simular diversas patologías abdominales. Su aparición se asocia a factores de riesgo como diabetes mellitus, enfermedad arterial coronaria y hemodiálisis. El diagnóstico preoperatorio representa un desafío debido a la inespecificidad de los hallazgos clínicos y radiológicos. Caso Clínico: Se presenta el caso de una paciente de 70 años con antecedentes de hipertensión arterial, diabetes mellitus e insuficiencia renal crónica en hemodiálisis que consultó por dolor abdominal en cuadrante inferior derecho, acompañado de náuseas, vómitos y diarrea. La tomografía computarizada evidenció engrosamiento mural del ciego, neumatosis de la pared y signos de hipoperfusión. Se decide manejo quirúrgico mediante laparoscopía, donde se constató necrosis segmentaria del ciego, sin afectación de otras áreas. Se realizó resección cecal segmentaria y apendicectomía profiláctica. El estudio histopatológico confirmó el diagnóstico de colitis isquémica. La paciente evolucionó favorablemente. Conclusión: La NCA es una patología rara que debe incluirse en el diagnóstico diferencial de pacientes con dolor abdominal, especialmente en mujeres de edad avanzada y con comorbilidades vasculares o metabólicas. El reconocimiento temprano de los factores de riesgo, la tomografía computarizada con contraste y la exploración quirúrgica oportuna, idealmente por abordaje laparoscópico, son fundamentales para establecer el diagnóstico y proporcionar un tratamiento óptimo, el cual debe ser individualizado según la extensión de la necrosis y condiciones del paciente.

 

Palabras clave: Colitis isquémica, neoplasia, necrosis cecal.

 

 

ISOLATED CECAL NECROSIS MIMICKING COMPLICATED COLONIC

NEOPLASM

 

 

ABSTRACT:

Introduction: Isolated cecal necrosis (ICN) is an atypical manifestation of ischemic colitis that can mimic various abdominal pathologies. Its occurrence is associated with risk factors such as diabetes mellitus, coronary artery disease, and hemodialysis. Preoperative diagnosis is challenging due to the nonspecific nature of clinical and radiological findings. Clinical Case: We present the case of a 70-year-old female patient with a history of hypertension, diabetes mellitus, and chronic renal failure on hemodialysis, who consulted for abdominal pain in the right lower quadrant, accompanied by nausea, vomiting, and diarrhea. A computed tomography scan revealed mural thickening of the cecum, pneumatosis of the wall, and signs of hypoperfusion. Surgical management was decided upon through laparoscopy, where segmental necrosis of the cecum was confirmed, with no involvement of other areas. A segmental cecal resection and prophylactic appendectomy were performed. Histopathological examination confirmed the diagnosis of ischemic colitis. The patient had a favorable outcome. Conclusion: ICN is a rare condition that should be included in the differential diagnosis of patients with abdominal pain, especially in older women with vascular or metabolic comorbidities. Early recognition of risk factors, contrast-enhanced computed tomography, and timely surgical exploration, ideally via a laparoscopic approach, are essential for establishing the diagnosis and providing optimal treatment, which should be individualized based on the extent of necrosis and the patient’s condition.

 

Keywords: Ischemic colitis, neoplasia, cecal necrosis

 

 

 

INTRODUCCIÓN

La necrosis cecal aislada (NCA) representa una manifestación infrecuente y localizada de la colitis isquémica (CI), que se distingue por afectar de manera exclusiva al ciego. A diferencia de la colitis isquémica típica, la necrosis cecal se presenta de forma focal, simulando patologías como apendicitis, diverticulitis e incluso neoplasias. Este solapamiento clínico dificulta su diagnóstico, convirtiéndolo en un desafío persistente en la práctica clínica (1,2).

La CI, en términos generales, se produce principalmente por una disminución del flujo sanguíneo que compromete la mucosa intestinal. El ciego, debido a su irrigación terminal a través de la arteria ileocólica, presenta una vulnerabilidad particular en estados de hipoperfusión. Esta característica anatómica explica su predisposición a la necrosis en pacientes con comorbilidades vasculares preexistentes, como la diabetes mellitus o enfermedad coronaria, así como en aquellos que han sido sometidos a hemodiálisis o cirugías cardíacas (1,3).

El espectro clínico de la NCA es amplio y heterogéneo, abarcando desde molestias abdominales leves hasta signos graves de peritonitis. En cuanto a los hallazgos radiológicos, se pueden observar neumatosis intestinal, engrosamiento de la pared cecal y alteraciones que sugieren una perfusión sanguínea inadecuada. Sin embargo, ninguno de estos hallazgos radiológicos es patognomónico de necrosis. En la mayoría de los casos, el manejo de esta entidad es quirúrgico, especialmente en situaciones donde se desarrolla necrosis transmural o existe riesgo inminente de perforación (4,5).

A continuación, presentamos el caso de una paciente de edad avanzada con diagnóstico de NCA y revisión de la literatura existente.

 

PRESENTACIÓN DEL CASO:

Información del Paciente:

Paciente femenina de 70 años con antecedentes de hipertensión arterial, diabetes mellitus tipo 2, hipotiroidismo e enfermedad renal crónica en hemodiálisis, quien consultó a urgencias por dolor abdominal, de inicio insidioso, de 8 días de evolución, el cual se intensifica 24 horas previas a su ingreso, localizado en la fosa ilíaca derecha, asociado a náuseas, vómitos y evacuaciones líquidas.

 

Hallazgos clínicos

A la exploración física, estaba en condiciones clínicas estables, taquicardica, ventilando espontáneamente, vigil y orientada. El abdomen se encontraba levemente distendido, blando y depresible, doloroso a la palpación superficial y profunda en fosa iliaca derecha y con signo de Blumberg positivo.

Los exámenes de laboratorio revelaron: hemoglobina 10.1g/dL, hematocrito 30%, leucocitosis de 19.1 × 109/L, a predominio de neutrófilos 85%, plaquetas 223 × 109/L, glucosa 292 mg/dl, creatinina 7,6 mg/dl, nitrógeno ureico 50.9 mg/dl, proteína C reactiva 175 mg/dl, sodio 129 mEq/L, potasio 5.5 mEq/L, cloro 99 mEq/L.

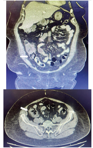
Se realizó una tomografía computarizada con contraste, la cual reveló la presencia de engrosamiento mural concéntrico del ciego asociado a neumatosis de la pared del mismo y signos de hipoperfusión local, sugerentes inicialmente de neoplasia colónica complicada. (Figura 1).

En vista de estos hallazgos, se determinó la necesidad de exploración quirúrgica.

Tratamiento realizado

Se realizó un abordaje laparoscópico, evidenciando un área bien delimitada en el borde antimesentérico del ciego de aproximadamente 5 x 6 cm, con signos isquémicos irreversibles que comprometen el espesor total de su pared, sin signos de perforación y sin compromiso de válvula ileocecal ni apéndice. Se realizó resección segmentaria del ciego afectado mediante grapado mecánico y apendicectomía profiláctica, dejando un drenaje en fosa iliaca derecha. (Figura 2).

 

SEGUIMIENTO Y RESULTADOS

 

La evolución postoperatoria de la paciente fue satisfactoria, mejorando clínicamente, con buena tolerancia oral y disminuyendo los parámetros inflamatorios, lo que permitió el retiro del drenaje y egreso a domicilio.

En el seguimiento a un mes de la cirugía, la paciente se encontraba asintomática. El estudio histológico reportó infarto cecal transmural, compatible con colitis isquémica.

 

  

DISCUSIÓN

 

La NCA representa una entidad clínica poco común y con escasos estudios en la literatura, pero es de suma importancia debido a su potencial para simular otras patologías abdominales agudas, lo que puede retrasar el diagnóstico y manejo adecuados (1,2). Este fenómeno lo podemos evidenciar en nuestro caso pues la paciente presentó características clínicas y radiológicas que inicialmente sugerían una lesión neoplásica complicada.

La isquemia colónica es multifactorial, pudiendo ser de causa oclusiva (tromboembolismo arterial, trombosis venosa) o no oclusiva  (hemodiálisis, uso de digoxina, postraumática, cirugía cardíaca, enfermedad de Behçet).(6) La isquemia no oclusiva (INO), cuyo mecanismo es la hipoperfusión, es la más común (95%) siendo generalmente transitoria. Sin embargo, la necrosis transmural resulta de fenómenos isquémicos sostenidos o la reperfusión después de un episodio isquémico transitorio (3,6). Nuestra paciente tenía enfermedad renal crónica etapa V, lo cual es concordante con una etiología no oclusiva como causa más frecuente.

La flexura esplénica y la unión rectosigmoidea son las áreas más afectadas. Sin embargo, cualquier segmento del colon puede resultar afectado. Se ha postulado que la NCA puede ocurrir debido a que la región ileocecal, al igual que las zonas colónicas mencionadas, posee un suministro sanguíneo relativamente deficiente en comparación con el intestino adyacente (3,4), similar a lo encontrado en la presentación de nuestro caso.

Dentro de los factores predisponentes, la edad avanzada, ser del sexo femenino y  la presencia de comorbilidades son los mas importantes para desarrollar isquemia colónica. (8) En base a ello, se puede clasificar en Tipo I (espontánea), sin causa identificable de hipoperfusión mesentérica, pero asociada a comorbilidades (insuficiencia cardíaca, cardiopatía isquémica, diabetes, hipertensión) o fármacos; y Tipo II (secundaria), con una causa clara de hipoperfusión (derivación cardiopulmonar, reanimación con hipotensión, hemodiálisis). (7) Nuestra paciente presentaba un alto riesgo de desarrollar esta enfermedad debido a sus antecedentes mórbidos como diabetes mellitus e hipertensión, así como la hemodiálisis. En estos individuos, la hipoperfusión cecal, secundaria a factores como la microangiopatía oclusiva y los cambios hemodinámicos durante la hemodiálisis, puede desencadenar la necrosis segmentaria del ciego. (3)

El diagnóstico se basa en la combinación de la historia clínica y los hallazgos radiológicos e intraoperatorios. Los síntomas más frecuentes son dolor abdominal, hematoquecia y diarrea. Otros como las náuseas, vómitos y distensión abdominal son comunes (8). La presencia de dolor abdominal en la fosa ilíaca derecha, asociado a signos de irritación peritoneal, como el signo de Blumberg positivo, son hallazgos habituales en la NCA, pero no son específicos y pueden observarse en otras patologías abdominales más frecuentes. (3)

Aunque no existe un estudio “estándar de oro” para el diagnóstico de NCA, la tomografía computarizada (TC) contrastada parece ser la herramienta más útil. (5) El espectro de hallazgos incluye: engrosamiento de la pared colónica, edema, “huellas dactilares”, dilatación intestinal, líquido pericólico, signos de “doble halo” o “diana”, neumatosis intestinal y neumatosis portal. Otros estudios como la ecografía, la colonoscopia, rayos X de abdomen y la resonancia magnética podrían tener utilidad en algunos casos, sin embargo, a pesar de estas herramientas, el diagnóstico puede seguir siendo incierto. (6,8) En nuestro caso, la TC fue el estudio de elección, simulando una neoplasia de ciego.

La angiografía mesentérica no tiene utilidad en los casos de INO, en contraste a cuando se sospecha una etiología tromboembólica o trombosis venosa mesentérica. (8) En muchos casos, el diagnóstico definitivo se realiza durante la exploración quirúrgica, siendo la laparoscopia diagnóstica una alternativa de gran utilidad para elegir la mejor estrategia terapéutica (2), como fue en el caso de nuestra paciente.

El tratamiento de la NCA es quirúrgico e incluye hemicolectomía derecha y resección parcial o total del ciego con o sin reconstrucción inmediata, dependiendo de la extensión de la necrosis, presencia de peritonitis y condiciones del paciente. (6,7) En este caso se realizó una resección segmentaria del ciego y si bien algunos autores abogan por la hemicolectomía derecha, este tipo de resecciones parciales pueden ser una opción segura y eficaz en casos seleccionados, especialmente en pacientes con un alto riesgo quirúrgico o cuando la necrosis se limita a un segmento específico del ciego (1,4,5), similar a nuestro caso. La ileostomía terminal es preferible en pacientes con alto riesgo hemorrágico, hipotensión, insuficiencia renal crónica en hemodiálisis y enfermedad coronaria. (6)

 

 

CONCLUSIÓN

 

La NCA es una patología rara, pero debe ser considerada en el diagnóstico diferencial de pacientes con dolor abdominal en el cuadrante inferior derecho, especialmente en mujeres de edad avanzada con comorbilidades vasculares o metabólicas. El reconocimiento temprano de los factores de riesgo, la evaluación imagenológica adecuada y la exploración quirúrgica oportuna son fundamentales para establecer el diagnóstico y proporcionar un tratamiento eficaz. El procedimiento quirúrgico específico debe individualizarse según las características del paciente y la extensión de la necrosis.

 

DECLARACIONES DE AUTORÍA

 

M.R y A.S. desarrollaron la idea, condujo la búsqueda bibliográfica, recopiló los datos y redactó el manuscrito. J.S.y C.M revisó el documento.  Todos los autores realizaron la revisión final, contribuyendo con análisis intelectuales y aprobando la versión final.

 

CONSENTIMIENTO INFORMADO

Se obtuvo el consentimiento informado por escrito del paciente para la publicación de este informe y cualquier imagen asociada.

 

Conflicto de Intereses y Financiación

 

Los autores declaramos no tener conflictos de intereses, ni haber recibido financiamiento o patrocinio de ninguna organización para realizar este trabajo.

 

REFERENCIAS

 

1.   Janike K, Pan A, Kheirkhah P, Shuja A. Isolated Cecal Necrosis Mimicking a Colonic Mass. ACG Case Rep J. 2023 May 24;10(5):e01030. doi: 10.14309/crj.0000000000001030. PMID: 37234999; PMCID: PMC10208693.

2.   Kohga A, Yajima K, Okumura T, Yamashita K, Isogaki J, Suzuki K, et al. A Case of Isolated Cecal Necrosis Preoperatively Diagnosed with Perforation of Cecum. Medicina (Kaunas). 2019 Jan 10;55(1):9. doi: 10.3390/medicina55010009. PMID: 30634701; PMCID: PMC6359131.

3.   Cotter TG, Bledsoe AC, Sweetser S. Colon Ischemia: An Update for Clinicians. Mayo Clin Proc. 2016 May;91(5):671-7. doi: 10.1016/j.mayocp.2016.02.006. PMID: 27150214.

4.   Karpuzi A, Galeski D, Elezi G, Goreski A, Karatashev Z. Partial caecal necrosis - a rare cause of right-sided inferior abdominal pain and tenderness. Pril (Makedon Akad Nauk Umet Odd Med Nauki). 2014;35(2):117-21. doi: 10.2478/prilozi-2014-0015. PMID: 25532092.

5.   Díaz-Rosales JD, Salva CR, Rivera-Córdova AA. Necrosis de ciego como causa de abdomen agudo en una paciente con insuficiencia renal crónica. Cir Gen. 2020; 42 (3): 228-231. https://dx.doi.org/10.35366/99965.

6.   Sunamak O, Corbaci K, Akyuz C, Gul MO, Besler E, Donmez T, Ekiz F. Isolated Cecal Necrosis as a Cause of Acute Abdomen. J Clin Med. 2025 Feb 5;14(3):1019. doi: 10.3390/jcm14031019. PMID: 39941687; PMCID: PMC11818810.

7.   Kardoun N, Hadrich Z, Rahma D, Harbi H, Boujelben S, Mzali R. Isolated cecal necrosis: Report of two cases. Clin Case Rep. 2021 Aug 21;9(8):e04552. doi: 10.1002/ccr3.4552. PMID: 34457276; PMCID: PMC8380075.

8. Xu Y, Xiong L, Li Y, Jiang X, Xiong Z. Diagnostic methods and drug therapies in patients with ischemic colitis. Int J Colorectal Dis. 2021 Jan;36(1):47-56. doi: 10.1007/s00384-020-03739-z. Epub 2020 Sep 16. PMID: 32936393; PMCID: PMC7493065.

 

 

 

Figura 1. TAC en corte axial y coronal. Las flechas señalan engrosamiento concéntrico y neumatosis en ciego.


 

Figura 2. Visión laparoscópica de segmento aislado de ciego necrosado, sin compromiso de la válvula ileocecal ni base apendicular.