INTRODUCCIÓN
La hidatidosis o equinococosis quística (EQ) es una zoonosis
parasitaria, causada por Echinococcus granulosus, responsable de esta
patología. En Venezuela es una enfermedad de notificación
obligatoria, siendo el primer caso de hidatidosis descrito en 1901 por
Razetti. Estados como Bolívar, Amazonas y Lara, son áreas
endémicas.(1)
Clínicamente se evidencia la presencia de una masa
quística en el abdomen o tórax, asociada a antecedentes
epidemiológicos, estudios imagenológicos y pruebas
serológicas. Usualmente los pacientes son asintomáticos.
Los órganos más frecuentemente afectados son:
hígado (63%), pulmones (25%), músculo (5%), huesos (3%),
riñones (2%), cerebro (1%), bazo (1%). En su mayoría, la
hidatidosis se presenta como un quiste hidatídico único.(2)
Debe individualizarse el tratamiento a cada paciente. La táctica
quirúrgica dependerá de la ubicación, el
tamaño, las relaciones anatómicas, número de
quistes, estado del quiste y de la condición general del
paciente.(1)
A continuación se expone un caso de hidatidosis
multiorgánica asociado a hidatidosis retroperitoneal enquistada
junto a los hallazgos imagenológicos.
Presentación del caso
Se trata de paciente masculino de 30 años de edad, procedente de
Siria, residenciado en el estado Monagas, refiere inicio de enfermedad
actual desde el 2018, presentando aumento de circunferencia abdominal
progresiva concomitante dolor abdominal localizado en hemiabdomen
derecho, insidioso, posteriormente al año, se anexa dolor en
miembro inferior derecho continuo, punzante de fuerte intensidad
atenuada parcialmente con analgésico, en vista de
exacerbación de sintomatología con limitación
funcional para la marcha y estreñimiento, acude a centro de
salud.
Hallazgos clínicos
Ingresa con signos vitales: frecuencia cardíaca (FC): 98 latidos
por minutos, frecuencia respiratoria (FR): 18 respiraciones por minuto,
tensión arterial (TA): 110/70mmhg.
Al examen físico: abdomen globoso a expensa de tumor
intraabdominal, se palpa aumento de volumen en hemiabdomen derecho de
17x 15cm aproximadamente, que se extiende hacia mesogastrio e
hipogastrio, no móvil, doloroso a la palpación profunda
sin signos de flogosis, de bordes regulares. Extremidades:
asimétricas, con edema grado I con signo de godet positivo en
miembro inferior derecho, doloroso a la palpación profunda y
superficial, movilidad limitada, pulsos periféricos presentes
simétricos. (
Figura 1). El resto del examen físico dentro de límites normales.
Estudios diagnósticos
Cuenta con Tomografía Axial Computarizada (TAC) de tórax
–simple- evidenciándose silueta cardíaca de
tamaño normal, en la región posteroinferior del
ápex se describe una lesión quística única
compleja de paredes gruesas de 4,7 x 3,1cm, con escaso derrame
pericárdico. Derrame pleural derecho de escasa cuantía.
En TAC abdominopélvica (doble contraste) se evidencia
parénquima hepático aumentado de volumen a predominio de
lóbulo derecho con múltiples lesiones quísticas,
la mayor de 10 x 10cm de contenido heterogéneo, en el
músculo psoas ilíaco derecho se aprecia imagen hipodensa
quística de paredes gruesas, de aproximadamente 20 x 17cm, la
cual ocasiona efecto de masa sobre estructuras de hemiabdomen derecho
desplazándolas hacia la región central. Se hallan
lesiones de quistes a nivel retroperitoneal derecho de 15 x 17cm de
contenido homogéneo de bordes regulares bien definidos en
íntima relación en columna vertebral lumbar y vena cava
inferior, además de lesiones quísticas múltiples
en bazo de 2x 2cm. (
Figura 2).
Tratamiento realizado:
Se plantea el diagnóstico de enfermedad hidatídica
múltiple complicada con a) quiste retroperitoneal derecho
gigante único b) quistes hepáticos múltiples c)
quiste esplénico.
En la primera etapa se inició tratamiento médico
preoperatorio, con albendazol 10 mg/kg/día, en dos ciclos por 4
semanas y 2 semanas de descanso entre ciclos. Luego del cumplimiento,
previo consentimiento médico informado, se plantea la
realización de quistectomia para resección de quiste
retroperitoneal derecho bajo anestesia general inhalatoria, abordaje
supraparainfraumbilical mediano.
Se evidencia como hallazgos intraoperatorios: 1) quiste hidático
retroperitoneal derecho único gigante de 17 x 20cm firmemente
adherido a psoas ilíaco derecho, uréter derecho, vejiga,
hígado y colon ascendente. 2) quistes múltiples de
tamaño variable en lóbulo hepático derecho sin
compromiso de vía biliar, 3) quiste único en polo
inferior esplénico. (
Figura 3).
Se realiza adherenciolisis roma e instrumental, protección de
cavidad abdominal con compresas, aspirado del contenido del quiste
retroperitoneal derecho, y resección de este quiste, lavado de
cavidad abdominal con 2000cc de solución hipertónica y
aspirado del mismo, dren tipo Jackson Pratt, en relación a
retroperitoneal, toma de biopsia de líquido del quiste
retroperitoneal y del quiste hidático hepático.
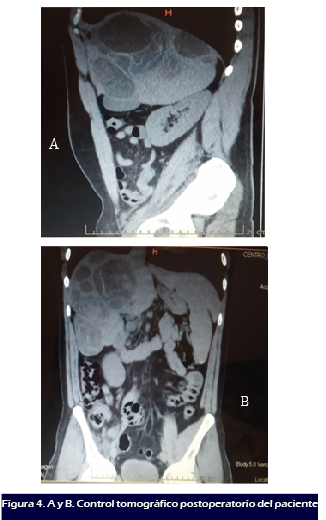
SEGUIMIENTO Y RESULTADOS
Paciente evoluciona satisfactoriamente. En postquirúrgico
inmediato fue ingresado en Unidad de cuidado Intensivo (UCI) durante 3
días, con seguimiento del servicio de infectología y
epidemiología, bajo el tratamiento de albendazol 800mg
vía oral (VO) diario por 3 meses + praziquantel 1200mg VO,
dexametasona 8mg vía endovenosa (EV). Es egresado al
séptimo (07) día de hospitalización en buenas
condiciones generales, con tratamiento médico de albendazol, y
control tomográfico posterior al acto quirúrgico,
realizado a los 7 meses, donde no se evidencia el quiste anteriormente
reportado en retroperitoneo. La biopsia confirmó el diagnostico
de hidatidosis. (
Figura 4).
DISCUSIÓN
En la Hidatidosis, el hombre es huésped intermediario accidental
en el ciclo de vida del parásito; el perro es el huésped
definitivo, típicamente ocurre en comunidades dedicadas al
pastoreo y ganado a través de la ingesta oral de estos animales.
Afecta a sujetos de cualquier edad y sexo, comúnmente entre los
20 y 40 años de edad.(3)
En la hidatidosis abdominal cuando afecta la cavidad peritoneal crece
progresivamente simulando una masa multilobulada, entidad conocida como
hidatidosis peritoneal enquistada, causa molestias cuando los quistes
son grandes (>5 cm) para comprimir los órganos
intra-abdominales y por el pasaje de sustancias de la hidátide
al huésped, incluso provocando alteraciones
inmunológicas: crisis urticarianas. Tiene complicaciones como
ruptura o infección del quiste acompañada de
reacción anafiláctica.(2, 3)
El promedio de estancia hospitalaria fue de 7 días, menor a lo
reportado en otros estudios. La mortalidad intraoperatoria ha sido
reportada 8,8 a 12% y la recidiva estimada es de un 8,8% a 10,7%, en
esta oportunidad no hay recidiva ni mortalidad en periodo de un
año del quiste retroperitoneal tratado. El abordaje abierto es
una alternativa terapéutica considerando el número de
quiste y tamaños a tratar con mortalidad y morbilidad comparable
con los reportes de cirugía laparoscópica. (2)
Las metas del manejo quirúrgico son: remover todos los elementos
del parásito, evitar el derrame del contenido del quiste, manejo
de la cavidad residual con una conservación máxima del
órgano hospedero. Las literaturas reportan el uso de soluciones
salinas hipertónicas para disminuir la viabilidad del quiste,
por lo que se decidió utilizarla, obteniéndose buenos
resultados.(1, 4, 5)
Se ha descrito la utilidad de medicamentos como albendazol a 10-15 mg/
kg/día, mebendazol a 40-50 mg/kg/día por 3-6 meses y
praziquantel a 40 mg/kg/semana, cada uno con resultados variables, cuya
finalidad es disminuir la presión intra quística, reducir
la anafilaxia y riesgo de recurrencia. (6)
Se considera de importancia este caso por la escasa presentación
de la patología en este país permitiendo ampliar la
experiencia quirúrgica, también por la forma de
presentación con la coexistencia de múltiples quistes con
mayor interés en retroperitoneo comprometiendo la
movilización y tránsito intestinal. Cada autor
contribuyó en la realización del artículo, en
redacción del tema: Dra Alcon/ Duerto, edición: Dra
Reyes/Boada, y manejo de imágenes: Dr. Chong.
Confidencialidad de Datos
Los autores declaran que en este artículo no aparecen datos de pacientes.
Conflicto de Intereses
Los autores declaran que no tienen conflicto de interés.
REFERENCIAS
1. Cantele H, Gutiérrez J, Safar J, Falco A, Egui M, Díaz M, et al. Tratamiento laparoscópico de un quiste hidatídico hepático poliquístico por Echinococcus vogeli:
Reporte de un caso en Venezuela. Rev Fac Med [Internet]. 2006 [citado
el 20 de enero de 2022]; 29(1):60–6. Disponible en: http://ve.scielo.org/scielo.php?script=sci_arttext&pid=S0798-04692006000100010
2. Montaña N, Chávez D. Hidatidosis multiorgánica
con compromiso peritoneal. Reporte de un caso y revisión de la
literatura. Rev Chil Radiol [Internet]. 2014 [citado el 20 de febrero
de 2022]; 20 (1):26-30. Disponible en: https://www.scielo.cl/pdf/rchradiol/v20n1/art_06.pdf
3. Revoredo F, De Vinatea J, Reaño G, Villanueva L, Kometter F, Tang J, et al.
Quiste hidatídico de páncreas: abordaje
laparoscópico. Rev Gastroenterol Peru [Internet]. 2016 [citado
el 20 de febrero de 2022]; 36 (3):264–8. Disponible en: http://www.scielo.org.pe/scielo.php?script=sci_arttext&pid=S1022-51292016000300013
4. Manterola C, Vial M, Fonseca F, Carrascos R, Bustos L, Muñoz S, et al. Hidatidosis
abdominal de localización extra hepática.
Características clínicas y evolución de una serie
de casos. Rev Cirugía [Internet]. 2002 [citado el 20 de febrero
2022]; 54(2): 128-134. Disponible en: https://www.cirujanosdechile.cl/revista_anteriores/PDF%20Cirujanos%202002_02/Cir.2_2002%20Hidatidosis%20Abdomina.pdf
5. Vildósola G, Carrión D. Opciones terapéuticas
en hidatidosis Hepática. Rev Gastroenterol Perú
[Internet]. 1997 [citado el 20 de febrero de 2022]; 17(3):1. Disponible
en: https://sisbib.unmsm.edu.pe/bvrevistas/gastro/vol_17n3/edit_opcion_terap_hidatid.htm
6. Pinto P. Diagnóstico, tratamiento y seguimiento de la
hidatidosis. Rev chil cir [Internet]. 2017 [citado el 14 de enero de
2022]; 69 (1):94–8. Disponible en: https://www.scielo.cl/scielo.php?script=sci_arttext&pid=S0718-40262017000100020



