INFARTO ESPLÉNICO COMO COMPLICACIÓN DE GASTRECTOMÍA VERTICAL LAPAROSCÓPICA. REPORTE DE CASO

Jose Luis Leyba1, Salvador Navarrete2, Ruben Alcazar3

  1. Médico especialista en cirugía general. Clínica Santa Sofía. Caracas. Venezuela. Correo-e: jlleyba@yahoo.es
  2. Médico especialista en cirugía general. Clínica Santa Sofía. Caracas. Venezuela.
  3. Médico especialista en cirugía general. Clínica Santa Sofía. Caracas. Venezuela.

RESUMEN

Introducción: La gastrectomía vertical laparoscópica es actualmente la cirugía bariátrica más empleada a nivel mundial. Aunque es un procedimiento seguro y efectivo pueden ocurrir complicaciones mayores. En el presente trabajo reportamos el caso de un infarto y absceso esplénico como una rara complicación de esta técnica, que requirió finalmente de esplenectomía como tratamiento definitivo. Caso clínico: Mujer de 22 años con obesidad grado I, a quien se le practicó gastrectomía vertical laparoscópica con buena evolución intrahospitalaria y egreso a las 48 horas. Al 4to día posoperatorio consultó por fiebre, dolor abdominal, taquipnea y taquicardia. Mediante tomografía computada de abdomen se diagnosticó infarto esplénico parcial. Recibió tratamiento médico con remisión inicial de los síntomas, los cuales reaparecieron a la 3era semana. Se reinició el tratamiento médico, esta vez sin respuesta, y con evolución al absceso esplénico. Se decidió esplenectomía como tratamiento definitivo logrando la recuperación completa de la paciente. Conclusión: El infarto esplénico es una complicación infrecuente de la gastrectomía  vertical. Su tratamiento inicial es médico, reservando la esplenectomía para los casos que no responden.


Palabras clave: Gastrectomía vertical; laparoscopia; infarto esplénico; absceso esplénico; esplenectomía; caso clínico.



       SPLENIC INFARCTION AS A COMPLICATION OF LAPAROSCOPIC VERTICAL GASTRECTOMY. CASE REPORT

ABSTRACT

Introduction: Laparoscopic sleeve gastrectomy is currently the most performed bariatric surgery worldwide. Although it is an effective and safe procedure major complications can occur. In the present manuscript we report a case of splenic infarct and abscess as a rare complication of laparoscopic sleeve gastrectomy, finally requiring a splenectomy as a definitive treatment. Case report: A 22 years old woman with grade I obesity underwent laparoscopic sleeve gastrectomy with good hospital evolution and 48 hours discharge. On the 4th postoperative day she return because fever, abdominal pain, tachypnea and tachycardia. By means of a computed tomography a splenic infarct was diagnosed. She received medical treatment with initial remission of symptoms, which reappear at the third week. Medical treatment was restarted, this time without success, and with progression to splenic abscess. We decided a splenectomy as definitive treatment achieving a complete patient recovery. Conclusion: Splenic infarction is a rare complication after sleeve gastrectomy. The treatment is non surgical, reserving the splenectomy for the non responded cases.
         
        Key words:
Sleeve gastrectomy; laparoscopy; splenic infarct; splenic abscess; splenectomy; case report.

INTRODUCCIÓN

La obesidad se ha convertido en la gran epidemia del siglo XXI, y dentro del arsenal terapéutico de esta enfermedad, la cirugía bariátrica es la que ofrece la mejor tasa de éxito a largo plazo.(1)

De los numerosos procedimientos quirúrgicos, la gastrectomía vertical laparoscópica (GVL) es actualmente el más empleado, desplazando al bypass gástrico en los últimos años, gracias a sus resultados comparables y a su relativa menor complejidad técnica. (2) Si bien se trata de una procedimiento seguro y efectivo, se presentan complicaciones mayores en alrededor del 3% de los casos. (3)

El presente trabajo reporta un caso de infarto esplénico posterior a GVL, su presentación, diagnóstico y tratamiento, siendo esta una complicación muy poco frecuente y con escaso reporte en la literatura.

Información del Paciente

Mujer de 22 años con IMC= 33 kg/m2, (peso= 93 kg, talla= 1.68m), con resistencia periférica a la insulina en tratamiento con metformina 500 mg/día, síndrome de ovarios poliquísticos, e hipotiroidismo en tratamiento con levotiroxina 50 mcg/día. Recibió múltiples tratamientos médicos para la obesidad, supervisados por equipos multidisciplinarios (nutrición clínica, endocrinología, psicología) sin respuesta, por lo que se decidió cirugía bariátrica, tipo GVL.

Hallazgos Clínicos

Consultó al 4to día de posoperatorio por episodios de fiebre cuantificada en 38.5 -38.8°C . Al examen físico se evidencia mucosa oral seca, taquicardia de 108/min, y taquipnea de 24/min, TA 115/75 mmHg. Tórax sin alteraciones. Abdomen blando, doloroso leve en epigastrio e hipocondrio izquierdo, sin irritación peritoneal. Resto del examen dentro de lo normal.

Estudios Diagnósticos

Paraclínicos: leucocitosis 14.000/μl, 90% segmentados, radiografía de tórax sin alteraciones.

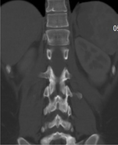
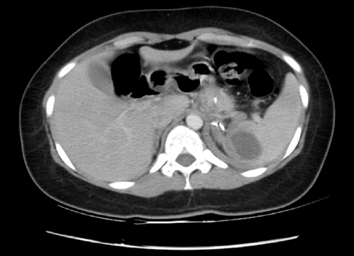
Se realiza tomografía computada (TC) de abdomen (doble contraste) con los hallazgos de infarto esplénico del polo superior (15% aproximadamente), mínimo derrame pleural izquierdo, y tubo gástrico indemne, sin evidencia de fugas ni colecciones intra-abdominales (Figuras 1-2).

Linea de Tiempo

Se decidió hospitalización para tratamiento médico, recibiendo expansión endovenosa con soluciones cristaloides, analgesia, y antibióticos endovenosos (ceftriaxona 1 gr/día y clindamicina 300 mg cada 6 horas), con evolución favorable dada por remisión de la fiebre y el dolor, con normalización de la cuenta blanca. Egresó a las 48 horas indicándose ceftibutan oral, 400 mg/día por 2 semanas.

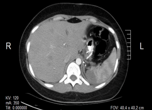
La paciente se mantiene asintomática por 21 días, cuando comienza a presentar febrícula 38°C y dolor lumbar izquierdo de moderada a fuerte intensidad. Al examen físico se evidencia signos vitales dentro de la normalidad; tórax sin alteraciones; abdomen blando, doloroso en hipocondrio izquierdo sin irritación peritoneal ni megalias. Laboratorio sin alteraciones (cuanta blanca normal). Se realizó ecosonograma y nueva TC de abdomen con los hallazgos de absceso esplénico en polo superior y barro biliar (Figura 3). Se intenta tratamiento médico con antibioticoterapia endovenosa (mismo esquema) sin respuesta a las 72 horas, por lo que se decidió intervención quirúrgica: esplenectomía y colecistectomía por laparoscopia, previa administración de profilaxis para gérmenes encapsulados (vacuna antineumocóccica polisacarídica y anti haemophylus influenzae tipo B).

Tratamiento Realizado

Bajo anestesia general y con la paciente en decúbito supino, se realizó abordaje laparoscópico por técnica de Hasson y se logró completar la colecistectomía por esta vía mas no así la esplenectomía, debido a reacción inflamatoria severa en el hilio esplénico que impidió la visualización de las estructuras vasculares. Se convirtió mediante laparotomía subcostal izquierda, y se procedió a completar la liberación del bazo para tratar el hilio esplénico una vez que el órgano estuviera completamente libre de sus elementos de fijación, ya que la individualización del hilio fue imposible debido a la severa reacción inflamatoria de la zona. Se verificó la hemostasia y dejó drenaje tipo Blake® en el espacio subdiafragmático izquierdo antes del cierre por planos de la pared abdominal.

Esta cirugía, así como la bariátrica inicial (gastrectomía vertical laparoscópica) fueron practicadas por el autor, médico especialista en cirugía general, profesor agregado de la Universidad Central de Venezuela.

 

SEGUIMIENTO Y RESULTADOS

La paciente requirió la transfusión de una unidad de concentrado globular por descenso de las cifras de hemoglobina debido a sangrado intraoperatorio, la evolución fue favorable con retiro del drenaje y egreso a las 72 horas.

Durante el control ambulatorio no se presentaron complicaciones, y a los 12 meses de seguimiento la paciente se encuentra asintomática, con una pérdida del exceso de peso del 100%.

 

DISCUSIÓN

Las principales complicaciones mayores luego de GVL son el sangrado posoperatorio de la línea de engrapado, la estenosis del tubo gástrico, y las temidas fugas y fístulas que afortunadamente solo se presentan en menos del 1% en la mayoría de las grandes series. (3,5)

El infarto esplénico luego de GVL es una complicación infrecuente, con solo unos pocos reportes en la literatura. (6-8) Sin embargo, el mismo ha sido documentado mas extensamente luego de funduplicaturas laparoscópicas con liberación de vasos cortos, en el tratamiento del reflujo gastroesofágico, por lo que esta misma sección vascular durante la GVL pudiera explicar el desarrollo del infarto en algunos pacientes con irrigación esplénica terminal. (9)

Otro de los mecanismos descritos en esta complicación es la trombosis portal, por lo que es imprescindible es estos casos evaluar la unión esplenoportal en la TC, y en caso de encontrar trombosis, iniciar anticoagulación con heparina de bajo peso molecular. (10)

La presentación clínica del infarto esplénico luego de GVL es muy similar a la de una fuga gástrica (fiebre, taquicardia, taquipnea) y la TC de abdomen con doble contraste es el estudio de elección en estos casos, ya que permite evaluar con gran sensibilidad la indemnidad del tubo gástrico, diagnosticar colecciones intra-abdominales, así como determinar la irrigación esplénica.

Si bien el tratamiento inicial debe ser médico y estar dirigido a prevenir el absceso, lo infrecuente de esta complicación hace que no exista experiencia y evidencia suficiente como para recomendar un esquema específico de antibioticoterapia así como su duración.

Mientras mayor sea el volumen del infarto, mayor la posibilidad de que este se complique a su vez, (absceso, ruptura, hemorragia), por lo que esto podría ser un punto importante a tomar en cuenta.(10)

En nuestra paciente, basamos el tratamiento en cefalosporinas de 3era generación por 2 semanas, con muy buena evolución inicial, sin embargo, una semana posterior a finalizar el mismo se presentaron nuevos síntomas con estudios de imagen sugestivos de absceso esplénico. Debido a la pobre respuesta al tratamiento médico del absceso y del potencial de mortalidad de esta nueva complicación se decidió la esplenectomía, siendo esta el tratamiento definitivo.

En vista de que los estudios de imágenes reportaron la presencia de barro biliar (microlitiasis vesicular) y de que la paciente se encontraba sin criterios de sepsis, se decidió realizar la colecistectomía en el mismo tiempo quirúrgico. Si bien esto puede ser punto de controversia, pensamos que debido a las buenas condiciones de la paciente se justificaba la realización de la misma. La microlitiasis vesicular en los pacientes posbariátricos supone un riesgo no despreciable de migración de los litos, con las potenciales complicaciones adicionales de litiasis coledociana, ictericia obstructiva y pancreatitis aguda. Por lo tanto, dejar la vesícula in situ exponía a la paciente a presentar mayores complicaciones.

En vista del desarrollo de este caso y de la literatura consultada, podemos concluir que el infarto esplénico es una complicación poco frecuente luego de GVL, siendo la TC con doble contraste el estudio indicado para el diagnóstico. El tratamiento inicial debe ser médico y estar basado en antibioticoterapia de amplio espectro por un período prolongado, a fin de evitar el desarrollo de abscesos esplénicos.

Igualmente durante la realización de una GVL es recomendable ligar los vasos cortos lo más cercano posible al estómago, a fin de reducir la posibilidad de interrumpir la irrigación esplénica y minimizar así esta complicación.

 

CONFLICTO DE INTERESES

Los autores declaran que no tienen conflicto de intereses.

 

REFERENCIAS

1. World Health Organization (On line). Available al https://www.who.int/gho/countries/ven.pdf

2. Angrisani L, Santonicola A, Iovino P, Vitiello A, Zundel N, Buchwald H, y col. Bariatric Surgery and Endoluminal Procedures: IFSO Worldwide Survey 2014. Obes Surg. 2017; 27(9):2279-89.

3. Gagner M, Deitel M, Erickson AL, Crosby RD. Survey on laparoscopic sleeve gastrectomy (LSG) at the fourth International Consensus Summit on Sleeve Gastrectomy. Obes Surg. 2013; 23(12):2013-7.

4. Leyba JL, Aulestia SN, Llopis SN. Laparoscopic Roux-en-Y gastric bypass versus laparoscopic sleeve gastrectomy for the treatment of morbid obesity. A prospective study of 117 patients. Obes Surg. 2011; 21(2):212-6

5. Alvarenga ES, Lo Menzo E, Szomstein S, Rosenthal RJ. Safety an sfficacy of 1020 consecutive laparoscopic sleeve gastrectomies performed as a primary treatment modality for morbid obesity. A single-center experience from the metabolic and bariatric surgical accreditation quality and improvement program. Surg Endosc. 2016; 30(7):2673-8

6. Dhanasopon AP, Lewis CE, Folek JM, Dutson EP, Mehran A. Splenic infarct as a complication of sleeve gasrectomy. Surg Obes Relat Dis. 2009; 5(5):626-9

7. Kalabin A, Mani VR, Mishra A, Depaz H, Ahmed L. Acute Pancreatitis with splenic Infarction as Early Postoperative Complication following Laparoscopic Sleeve Gastrectomy. Case Rep Surg. 2017; 2017:8398703

8. Iannelli A, Schneck A, Gugenheim J. Segmental splenic ischemia after laparoscopic sleeve gastrectomy. Surg Obes Relat Dis. 2015;11(1):265–6.

9. Wilkinson NW, Edwards K, Adams ED. Splenic infarction following laparoscopic Nissen fundoplication: management strategies. JSLS. 2003;7:359–65.

10. Villagran R, Smith G, Rodriguez W, Flores C, Cariaga M, Araya S, y col. Portomesenteric Vein Thrombosis After Laparoscopic Sleeve Gastrectomy: Incidence, Analysis and Follow-Up in 1236 Consecutive Cases. Obes Surg. 2016; 26(11):2555-61.

Figura 1. Infarto esplénico en el polo superior. Tubo gástrico indemne

Figura 2. Infarto esplénico



Figura 3.
Absceso esplénico en el polo superior